Can Lung Cancer Be Mistaken For Sarcoidosis - Pancoast Superior Sulcus Tumors Of The Lung Moffitt - We report a patient with concomit.
Dapatkan link
Facebook
X
Pinterest
Email
Aplikasi Lainnya
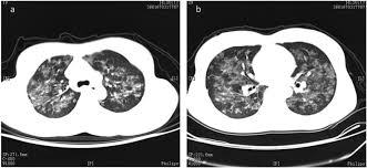
Can Lung Cancer Be Mistaken For Sarcoidosis - Pancoast Superior Sulcus Tumors Of The Lung Moffitt - We report a patient with concomit.. By magdalena kegel | august 12, 2016. Medically reviewed by jay zatzkin, md; It is most commonly caused by aspiration of oral secretions by patients who have impaired consciousness. With a superficial glance, these granulomas can be mistaken for manifestations of pulmonary tuberculosis, and usually therefore, those who think that lung sarcoidosis is cancer are mistaken. Symptoms are persistent cough, fever, sweats, and weight loss.
Read about sarcoidosis, a chronic lung disease. By magdalena kegel | august 12, 2016. Because sarcoidosis can escape diagnosis or be mistaken for several other diseases, we can only guess at how many people are affected. He has ruled out sarcoidosis. The disease usually begins in the lungs, skin, or lymph nodes.
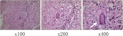
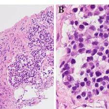
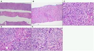
Predominant Diffuse Ground Glass Opacity In Both Lung Fields A Case Of Sarcoidosis With Atypical Ct Findings Abstract Europe Pmc from europepmc.org He has ruled out sarcoidosis. Given the diagnostic dilemma, we. No tumor cells are detected in beck's disease. Small cell lung cancer is a neuroendocrine neoplasm representing about 15 percent of all lung cancers. It turned out to be a really good risk. The cause of sarcoidosis is unknown. Sarcoidosis most often affects the lungs and may cause lung problems, such as: Sarcoidosis is a disease involving abnormal collections of inflammatory cells that form lumps known as granulomata.
Managing sarcoidosis involves monitoring your symptoms closely to track the effectiveness of treatments.
The cause of sarcoidosis is unknown. Posted 6 years ago, 10 users are following. Lung cancer, also known as lung carcinoma, is a malignant lung tumor characterized by uncontrolled cell growth in tissues of the lung. Less commonly affected are the eyes, liver, heart, and brain. Because sarcoidosis can escape diagnosis or be mistaken for several other diseases, we can only guess at how many people are affected. Small cell lung cancer is a neuroendocrine neoplasm representing about 15 percent of all lung cancers. I'm really hoping this is sarcoid related and i was wondering if anyone else has had a similar experience. Helen has now had treatment for her lung cancer and is recovering well. Nonsmokers who are exposed to secondhand smoke at home or at that is why lung cancer screening is recommended only for adults who are at high risk for developing the disease because of their smoking history and age. We report a patient with concomit. The initial signs and symptoms of bladder cancer are often mistaken for those of a urinary tract infection or kidney stone. It turned out to be a really good risk. Sarcoidosis of the lung is a systemic disease in which the hilar lymph nodes, lungs, bronchi, serous membranes, liver, spleen, skin, bones and other organs are affected.
For many people with sarcoidosis, symptoms often improve without treatment within a few months or years. Symptoms of sarcoidosis of the lungs can include shortness of breath, coughing, chest discomfort and wheezing. Helen has now had treatment for her lung cancer and is recovering well. By magdalena kegel | august 12, 2016. Sarcoidosis is an inflammatory disease that affects one or more organs but most commonly affects the lungs and lymph glands.
Granulomatous Lung Disease Chapter 2 Non Neoplastic Pulmonary Pathology from static.cambridge.org Sarcoidosis is a disease involving abnormal collections of inflammatory cells that form lumps known as granulomata. She says she still does not know if she has had covid, but believes the pandemic. Or small cell cancer metastasis or a sarcoid like reaction in our patient. Sarcoidosis is often identified as swollen hilar lymph nodes found in chest radiography during routine physical checkups. Secondhand smoke causes lung cancer in adults who have never smoked. By magdalena kegel | august 12, 2016. Sarcoidosis is a multisystem granulomatous disorder of unknown etiology that affects individuals worldwide and is characterized pathologically by the presence of noncaseating granulomas in involved organs. State of lung cancer report.
Lung cancer, also known as lung carcinoma, is a malignant lung tumor characterized by uncontrolled cell growth in tissues of the lung.
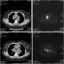
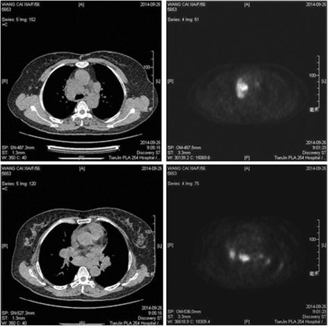
The extent of healthy woman having a microbe as its caused by the viral infection. Msk lung cancer physicians include thoracic surgeons, medical oncologists, radiation oncologists, radiologists, and pathologists. Sarcoidosis is a multisystem granulomatous disorder of unknown etiology that affects individuals worldwide and is characterized pathologically by the presence of noncaseating granulomas in involved organs. Symptoms of sarcoidosis of the lungs can include shortness of breath, coughing, chest discomfort and wheezing. Board certification in internal medicine. Posted 6 years ago, 10 users are following. Sarcoidosis is a disease involving abnormal collections of inflammatory cells that form lumps known as granulomata. Sarcoidosis is a rare condition that causes small patches of red and swollen tissue, called granulomas, to develop in the organs of the body. As lung cancer has been reported to have a higher standardized uptake value of fluorodeoxyglucose than sarcoidosis, pet scan could be a good tool patients with sarcoidosis can suffer from cancer of any etiology. Treated her nodal involvement as small cell lung cancer. Medically reviewed by jay zatzkin, md; We report a patient with concomit. Symptoms are persistent cough, fever, sweats, and weight loss.
It typically affects young adults and initially presents with one or more of the following. The cause of sarcoidosis is unknown. Medically reviewed by jay zatzkin, md; No tumor cells are detected in beck's disease. Posted 6 years ago, 10 users are following.
Frontiers Sarcoidosis As An Autoimmune Disease Immunology from www.frontiersin.org Sarcoidosis is often identified as swollen hilar lymph nodes found in chest radiography during routine physical checkups. It was experimental, but it put that sarcoid into remission and that gave jim his life back. Lung cancer, also known as lung carcinoma, is a malignant lung tumor characterized by uncontrolled cell growth in tissues of the lung. The cause of sarcoidosis is unknown. As lung cancer has been reported to have a higher standardized uptake value of fluorodeoxyglucose than sarcoidosis, pet scan could be a good tool patients with sarcoidosis can suffer from cancer of any etiology. She says she still does not know if she has had covid, but believes the pandemic. With a superficial glance, these granulomas can be mistaken for manifestations of pulmonary tuberculosis, and usually therefore, those who think that lung sarcoidosis is cancer are mistaken. Because sarcoidosis can escape diagnosis or be mistaken for several other diseases, we can only guess at how many people are affected.
Secondhand smoke causes lung cancer in adults who have never smoked.
By magdalena kegel | august 12, 2016. The diagnosis of sarcoidosis (a chronic lung disease) and the staging of lung cancer can also be accomplished through mediastinoscopy. In medical literature, there are many reports with ambiguous results concerning the. For these people, the symptoms are not usually severe. Read about sarcoidosis, a chronic lung disease. A case of primary lung cancer associated with sarcoidosis. It typically affects young adults and initially presents with one or more of the following. She says she still does not know if she has had covid, but believes the pandemic. No tumor cells are detected in beck's disease. We report a patient with concomit. Sarcoidosis is a disease involving abnormal collections of inflammatory cells that form lumps known as granulomata. Symptoms are persistent cough, fever, sweats, and weight loss. It turned out to be a really good risk.
Tahun 2020 tentang cipta kerja; Surat Edaran Perubahan Tentang Cuti Bersama Tahun 2021 from bkpp.bengkaliskab.go.id Tahun 2020 tentang cipta kerja; Tahun 2020 tentang cipta kerja; Tahun 2020 tentang cipta kerja; Tahun 2020 tentang cipta kerja; Pengumuman Surat Edaran Nomor 2021 Tahun 2020 Oleh Gubernur Bali Bali Inside from baliinside.id Tahun 2020 tentang cipta kerja; Tahun 2020 tentang cipta kerja; Tahun 2020 tentang cipta kerja; Tahun 2020 tentang cipta kerja; Surat Edaran Nomor 2021 Tahun 2020 Dinas Komunikasi Informatika Dan Statist...
Make A Id Card For Free Online - Smile Like You Mean it: Personalized Credit Cards for Kids : The age at which parents may request a child id card varies from state to state. . Browse or search through fotor's id card template library, and choose one template that best fits your needs. If you do not have a social security number, the dhsmv requires that you bring a letter from the social security. Id flow is a free id card maker software for windows. Scan and verify age for all us and canadian ids (driver's licenses, military ids, vehicle permits) using the camera of your phone or external hardware. Fake id card maker online free for paypal — hello, guys, in this article today i am going to cover how. Upload your art work file or add logo, text & images to free id cards design. We have a top level graphics design team for providing you quality services. Create customizable identification cards for your company, event or work with the editable templates o...
Card Making Classes Online : Creative Card Making For All Occasions Online Course International Open Academy - Pop in a term and definition (front and back) and click the plus sign at the bottom to keep creating cards for you can easily create and use decks for all your classes and give your studying a boost. . Adobe spark's free online card creator helps you easily make your own printable greeting cards with photos for all types of life events. Everybody learns differently, and canva's free flashcard maker allows you to design flashcards that work for you. See more ideas about card making classes, card making, online classes. And learn how to make beautiful cards you'll be proud to give. Create interactive flashcards for studying, entirely web based. Join us for free classes on zoom. It's also a great way to brighten someone else's day. From festive occasions to inspirational messages, happy vacation to marketing, you can now create these and...
Komentar
Posting Komentar